We Make Biggar Smiles
View Examples of Our Work
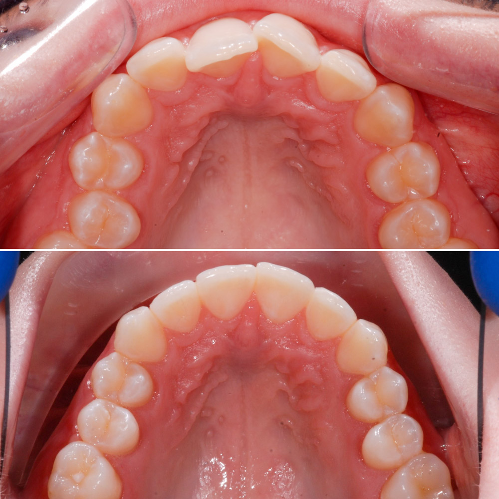
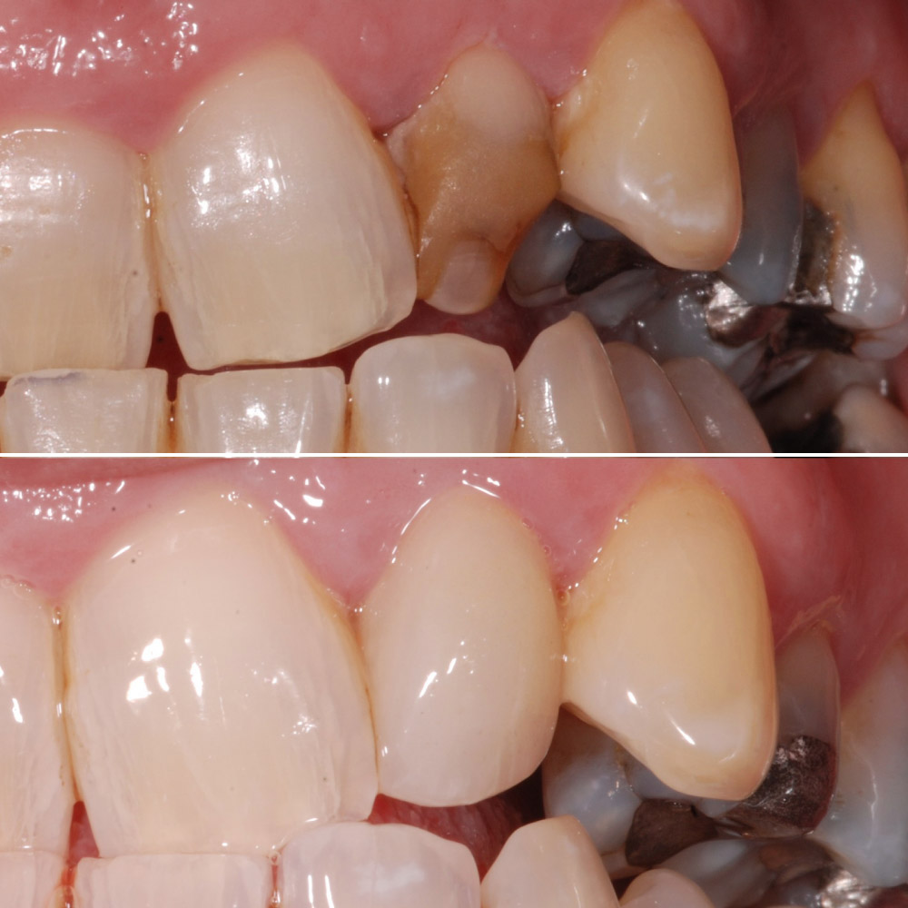
As the old saying goes, ‘a picture tells 1000 words’! So we want to show off some of the famulous work our dentists have achieved with our patients.
We want to give you a smile that grows your confidence! And here at Biggar Dental Practice our dentists use the latest technology and practices to improve the health, and aesthetics of your teeth.
Spread the cost of your dental care with our Practice Care Plan
With our DPAS Practice Care Plans, from as little as £19.50 per month, our patients can enjoy a higher level of service and discounts against a full range of treatments. The advantage for our patients is that it should reduce the need for future treatment and they will have the peace of mind knowing that all preventive dental care will be covered by convenient monthly payments.
With our DPAS Practice Care Plans, from as little as £19.50 per month, our patients can enjoy a higher level of service and discounts against a full range of treatments. The advantage for our patients is that it should reduce the need for future treatment and they will have the peace of mind knowing that all preventive dental care will be covered by convenient monthly payments.



